Hsv Esophagitis Pathology Outlines / Lstbikdotanmrm : Virtual international pathology institute (vipi).

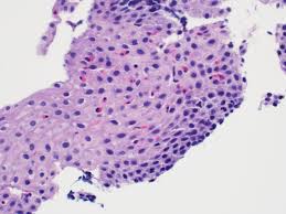
Hsv Esophagitis Pathology Outlines / Lstbikdotanmrm : Virtual international pathology institute (vipi).. For hsv, the viral cytopathic features are usually present adjacent to the ulcer, because the virus infects the squamous epithelial cells. Virtual international pathology institute (vipi). Herpes esophagitis is an inflammation of the esophagus due to herpes simplex virus. Ulcerative esophagitis, on the other hand, warrants a more guarded prognosis. This form of esophagitis typically occurs when.

5departments of dermatology and pathology and helen diller family comprehensive cancer center, university of california san francisco, san francisco, usa. Patients typically present with odynophagia, dysphagia, and retrosternal chest pain. It has also been descri. Associated with cmv or hsv esophagitis in immunocompromised (see case reports below); Fortschritt in der medizin, heidelberg.

Pathology Of Selected Infectious Diseases Chapter 3 Silverberg S Principles And Practice Of Surgical Pathology And Cytopathology
Pathology Of Selected Infectious Diseases Chapter 3 Silverberg S Principles And Practice Of Surgical Pathology And Cytopathology from static.cambridge.org
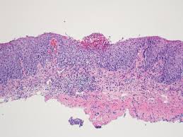
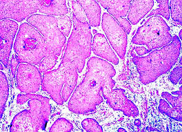
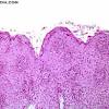
Differential diagnosis between herpes simplex virus (hsv) esophagitis and cytomegalovirus (cmv) esophagitis is challenging because there are many similarities and overlaps between their endoscopic features. Dysphasia and odynophagia are common symptoms with advanced hiv. Esophagitis is the inflammation or irritation of the esophagus. Common forms of esophagitis include reflux esophagitis, infectious esophagitis, pill esophagitis, eosinophilic esophagitis, and radiation and chemoradiation esophagitis. This guide is not intended to be used as a textbook. The results of one survey suggested there may be regional variation, with a. Virtual international pathology institute (vipi). Candida esophagitis (see the image below) is the most common type of infectious esophagitis.

Hiv (idiopathic) esophagitis may be the cause if no other pathogens are found.

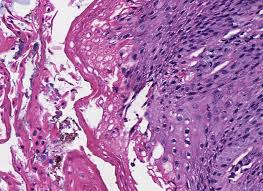
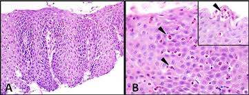
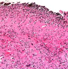
For hsv, the viral cytopathic features are usually present adjacent to the ulcer, because the virus infects the squamous epithelial cells. Virtual international pathology institute (vipi). Herpes esophagitis is one of the infectious esophagitis that usually affects immunocompromised patients. Fortschritt in der medizin, heidelberg. Welcome to the atlas of pathology website. Epidemiology it occurs as an opportunistic infection in immunocompromised patients, particularly those with aids. A cmv immunostain confirmed a diagnosis of cmv esophagitis. Report of 3 cases and review of the literature. The disease is increasingly recognized in recent decades. Within you will find microscopic explained images of basic pathology lesions along with accompanying text. Canalejo castrillero e, garcía durán f, cabello n, garcía martínez j. Herpes esophagitis is a viral infection of the esophagus caused by herpes simplex virus (hsv). We here present a case of hsv esophagitis that was presented with its characteristic features.

Differential diagnosis between herpes simplex virus (hsv) esophagitis and cytomegalovirus (cmv) esophagitis is challenging because there are many similarities and overlaps between their endoscopic features. We here present a case of hsv esophagitis that was presented with its characteristic features. Herpes esophagitis is an inflammation of the esophagus due to herpes simplex virus. Within you will find microscopic explained images of basic pathology lesions along with accompanying text. Epidemiology it occurs as an opportunistic infection in immunocompromised patients, particularly those with aids.

Outlines In Pathology John H Sinard Md Phd
Outlines In Pathology John H Sinard Md Phd from img.yumpu.com
A cmv immunostain confirmed a diagnosis of cmv esophagitis. Causes of esophagitis include stomach acids backing up into the esophagus, infection, oral medications and allergies. For hsv, the viral cytopathic features are usually present adjacent to the ulcer, because the virus infects the squamous epithelial cells. Although hsv esophagitis is much more common in immunosuppressed individuals, it can occur in healthy persons. May cause esophageal perforation or disseminate in immunocompromised patients. Associated with cmv or hsv esophagitis in immunocompromised (see case reports below); Candida esophagitis (see the image below) is the most common type of infectious esophagitis. The majority of patients with eosinophilic esophagitis have a personal history of allergic disorders such as bronchial asthma, allergic rhinitis, allergic.

Fortschritt in der medizin, heidelberg.

The majority of patients with eosinophilic esophagitis have a personal history of allergic disorders such as bronchial asthma, allergic rhinitis, allergic. Esophagitis can cause painful, difficult swallowing and chest pain. Alimentary tract pathology in infants and children. Report of 3 cases and review of the literature. Virtual international pathology institute (vipi). Animals with mild esophagitis generally have a favorable prognosis. A cmv immunostain confirmed a diagnosis of cmv esophagitis. Esophagitis due to herpes simplex virus (hsv) infection1,2. Herpes esophagitis in healthy adults and adolescents: Patients typically present with odynophagia, dysphagia, and retrosternal chest pain. Self limited in healthy patients; Untreated esophagitis may progress to metaplastic columnar epithelium similar to barrett's esophagus in. This form of esophagitis typically occurs when.

Although hsv esophagitis is much more common in immunosuppressed individuals, it can occur in healthy persons. This guide is not intended to be used as a textbook. Densely matted pseudohyphae and budding spores in squamous debris, fibrinopurulent exudate or necrotic debris. Common forms of esophagitis include reflux esophagitis, infectious esophagitis, pill esophagitis, eosinophilic esophagitis, and radiation and chemoradiation esophagitis. Esophagitis due to herpes simplex virus (hsv) infection1,2.

Candida Esophagitis Histology Page 1 Line 17qq Com
Candida Esophagitis Histology Page 1 Line 17qq Com from img.17qq.com
Associated with cmv or hsv esophagitis in immunocompromised (see case reports below); May cause esophageal perforation or disseminate in immunocompromised patients. Alimentary tract pathology in infants and children. Virtual international pathology institute (vipi). This guide is not intended to be used as a textbook. Even in someone who already has a herpes infection in the mouth, it rarely spreads down to the esophagus if the immune system is normal. Differential diagnosis between herpes simplex virus (hsv) esophagitis and cytomegalovirus (cmv) esophagitis is challenging because there are many similarities and overlaps between their endoscopic features. Esophagitis is the inflammation or irritation of the esophagus.

Common forms of esophagitis include reflux esophagitis, infectious esophagitis, pill esophagitis, eosinophilic esophagitis, and radiation and chemoradiation esophagitis.

Although hsv esophagitis is much more common in immunosuppressed individuals, it can occur in healthy persons. Patients typically present with odynophagia, dysphagia, and retrosternal chest pain. We here present a case of hsv esophagitis that was presented with its characteristic features. Differential diagnosis between herpes simplex virus (hsv) esophagitis and cytomegalovirus (cmv) esophagitis is challenging because there are many similarities and overlaps between their endoscopic features. Esophagitis due to herpes simplex virus (hsv) infection1,2. Less common causes of esophagitis and esophageal injuryand esophageal anatomic anomaliesseptember 16, 2009. This form of esophagitis typically occurs when. Herpes esophagitis is a viral infection of the esophagus caused by herpes simplex virus (hsv). Alimentary tract pathology in infants and children. Eosinophilic esophagitis title pathology reviewptyp loattrfree full text sb. Densely matted pseudohyphae and budding spores in squamous debris, fibrinopurulent exudate or necrotic debris. Common forms of esophagitis include reflux esophagitis, infectious esophagitis, pill esophagitis, eosinophilic esophagitis, and radiation and chemoradiation esophagitis. Causes of esophagitis include stomach acids backing up into the esophagus, infection, oral medications and allergies.

Even in someone who already has a herpes infection in the mouth, it rarely spreads down to the esophagus if the immune system is normal hsv esophagitis. Canalejo castrillero e, garcía durán f, cabello n, garcía martínez j.

Comments